Priset för en All-On-6 i Ungern
Den genomsnittliga kostnaden för ett All-On-6 tandimplantat i Ungern är 6 000 euro. Beroende på dina behov kan priset variera från 4 000 € till 8 000 €.
| Förfarande | Pris Ungern |
|---|---|
| All-On-6 | 6000 € |
Vad är en All-On-6?
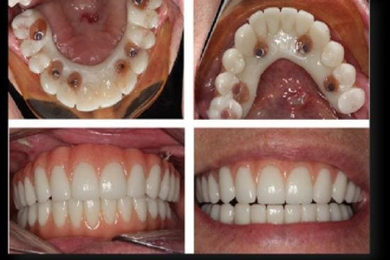
All-on-6 tandimplantat är utformade för att ersätta proteser och gör det möjligt att placera sex implantat i över- och underkäken. I allmänhet placeras fyra implantat i den främre delen av käken och två i den bakre delen. De sitter på en akrylbas med samma färg som tandköttet, medan kronorna kan vara gjorda av resin, zirkonia eller porslin.
All-On-6 i Ungern är en permanent tandprotes som gör det möjligt att helt rekonstruera dina tänder. Behandlingen ger en komplett uppsättning tänder (placerade på de övre och nedre käkbenen) som stöds av sex tandimplantat.

Implantaten placeras i en liten vinkel på 30 till 45 grader, vilket ökar implantatets styrka. Detta gör det också möjligt för personer som lider av benförlust i käken att få implantat utan att behöva göra tidskrävande och dyra bentransplantationer.
Hur fungerar All-on-6?
Här är alla steg du behöver ta för att uppnå det perfekta leendet.

1. Inledande konsultation, CT-skanning och röntgen
Tandläkaren kommer att bedöma det allmänna tillståndet i din mun och käke och utföra de nödvändiga skanningarna eller röntgenbilderna. Om du sedan bestämmer dig för att gå vidare med ingreppet tar tandläkaren avtryck av din mun. Dessa skickas sedan till laboratoriet för tillverkning av personliga proteser – de käk- och tandsektioner eller broar som ska fästas på implantaten.
2. Anestesi
Före operationen får du en lokalbedövning för att säkerställa att hela processen är smärtfri. Din mun rengörs sedan noggrant för att avlägsna bakterier och skadad vävnad.
3. Insättning av implantat i Ungern
Fyra hål borras på framsidan av käken och två på baksidan. Dina implantat placeras sedan i en vinkel på mellan 30 och 45 grader. I de flesta fall fästs dina nya tänder på implantaten inom en dag.
Till en början kan du få tillfälliga implantat som sitter i sex till nio månader. Detta är en försiktighetsåtgärd för att undvika blåmärken och säkerställa mindre tryck på dina implantat när de läker. När din mun har läkt helt kommer din tandläkare att placera dina permanenta implantat.

Alternativa behandlingar till All-on-6
Det finns två hållbara alternativ till All-On-6-implantat i Ungern: tandproteser, traditionella tandimplantat, All-On-4 och All-On-8
Tandproteser
Tandproteser är tillverkade av en akrylbas som är rosa och täcker tandköttet. Den övre delen av protesen består av tänderna, som är gjorda av porslin eller harts och täcker gommen. Med tiden förändras ditt tandkött naturligt och dina proteser kan behöva omformas eller relinas. En fullständig ersättning rekommenderas vart 5:e till 8:e år.
Tandimplantat
Tandimplantat kan väljas när en eller flera tänder behöver ersättas. Tandimplantat kräver en läkningsperiod på 4 till 6 månader för att implantatet ska smälta samman med käkbenet, innan kronan och distansen sätts fast. I vissa fall kan det krävas långa bentransplantationer innan implantatet kan sättas in. Tandimplantat är dyra och bentransplantation kan öka den slutliga kostnaden. Operationens längd och läkningstiden är mycket längre än för All-on-6-implantat.

All-on-4 implantat
All-on-4-implantat fungerar på exakt samma sätt som All-on-6-implantat i Ungern. Den enda stora skillnaden är att i det första fallet får du fyra implantat för att stödja tandbågen och i det andra sex. All-on-4 rekommenderas för patienter som inte har lika mycket benstyrka som de som är berättigade till All-on-6.
Operationens förlopp i Ungern
Operationen tar mellan en och två timmar och du får lokalbedövning eller narkos under hela ingreppet.
Ditt tandvårdsteam kommer att se till att du känner dig bekväm och kommer att svara på alla frågor du kan ha innan operationen påbörjas. Som nämnts ovan kommer alla nödvändiga extraktioner att utföras och din mun kommer att rengöras noggrant innan implantatet placeras.

Efter ingreppet kan munnen kännas lite svullen och öm, vilket vanligtvis kan behandlas med receptfria smärtstillande medel. Återhämtningstiden är vanligtvis minimal: patienterna kan återuppta sina vanliga aktiviteter några dagar efter operationen och i vissa fall kan de äta fast föda direkt efteråt.
Priser för All-On-6-implantat i hela världen
Kostnaden för tandimplantat för de första sex patienterna har stabiliserats under de senaste åren. Tack vare tillgången till kvalitetstandläkare utomlands har behandlingen blivit mycket billigare under de senaste åren. Nedan visas priser för All-on-6 tandimplantat på ett antal olika platser. Observera att dessa priser varken är fasta eller garanterade och kan variera från patient till patient, beroende på ett antal faktorer.
| Land | Pris |
|---|---|
| Turkiet | 5800 euro |
| Ungern | 6 000 euro |
| Mexiko | 6700 euro |
| Thailand | 11 000 euro |
Dra nytta av en GRATIS utvärdering!
På begäran och
utan några förpliktelser från din sida.
Rådgivning 100% gratis. Vi analyserar din situation, dina behov och förväntningar. Och vi uppskattar den budget som krävs för : Flyg + Hotell + Taxi + Behandling.
Du behåller hela tiden fullständig kontroll över processen. Total sinnesfrid.