Vad är priset för en All-on-8 i Turkiet?
Den genomsnittliga kostnaden för en All-on-8 i Istanbul, Turkiet är 7 000 euro. Beroende på dina behov kan priset variera från 6 000 euro till 8 000 euro.
| Förfarande | Pris Turkiet |
|---|---|
| All-on-8 | 7000 € |
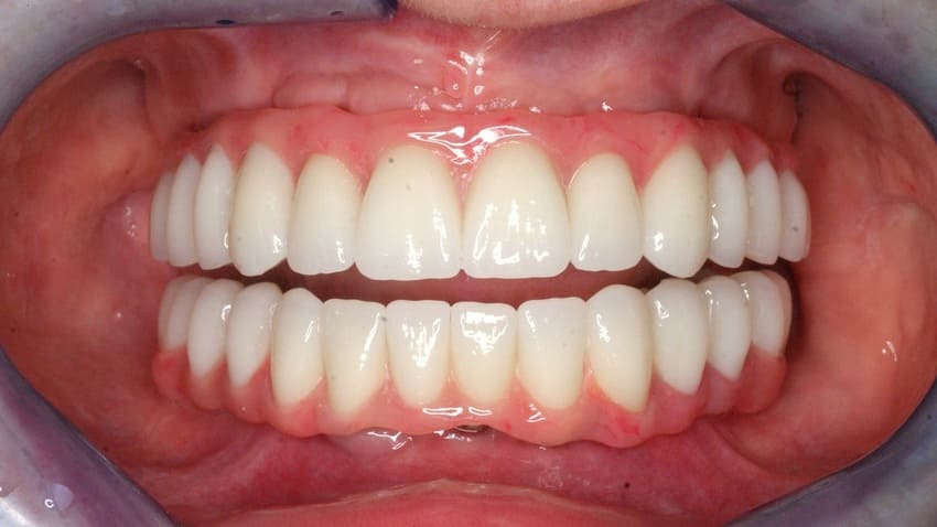
Vad är en All-on-8?
All-on-8 i Turkiet är rätt lösning för dig om du letar efter en kostnadseffektiv lösning för en fullständig tandrestaurering. Det är det mest prisvärda sättet att återställa ditt leende.
De 8 tandimplantaten består av att placera 8 tandimplantat i vart och ett av tandbågarna. Tack vare avancerad tandteknik får protesen som ska placeras på bågarna en solid bas i form av tandimplantat. Detta gör att tandimplantaten kan fungera omedelbart. Detta tandbehandlingsförfarande i Turkiet inkluderar lutning av implantaten på de bakre tänderna för att göra det mesta av det tillgängliga tandbenet.
All-on-8 tandimplantatbehandling i Turkiet rekommenderas för patienter som har tappat mer än 80% av sina naturliga tänder för en permanent, säker och mycket estetisk tandlösning. Du får en hälsosam ny uppsättning tänder för att äta och tugga ordentligt igen.

| Förenade kungariket | 25000 € |
| Förenta staterna | 27000 € |
| Kanada | 26000 € |
| Turkiet | 7000 € |
Vistelsenslängd: 1 dag
Obs: ingreppet för tandimplantat tar högst 3 till 4 timmar. Patienten måste dock stanna i Istanbul i några extra dagar för den postoperativa konsultationen. Det tar cirka 3 månader efter operationen för munnen att läka. Benet och tandköttet ändrar form under denna period för att anpassa sig till det nya implantatet.

Fördelarna med All-on-8 tandimplantat i Istanbul, Turkiet
- Till skillnad från konventionella proteser är implantatstödda proteser populära för sin hållbarhet och är mycket välkonstruerade. Med rätt munhygien kan implantat hålla hela livet.
- All-on-8 tandimplantat i Turkiet kräver minimal kirurgi och är ett snabbt förfarande med snabb återhämtning, till skillnad från andra konventionella alternativ som kräver flera förberedelser innan en protes faktiskt kan monteras över dem.
- All-on-8-proteser kan förses med nya tänder på 3 till 4 timmar, vilket innebär att du kan få ett vackert leende på bara en dag!
- Ingen bentransplantation krävs för all-on-8
- Du kan äta och tala naturligt och känna dig precis som när du var ung.
- Tandläkare och personal talar flytande franska, italienska, spanska och tyska
- Konsultationer och uppföljningar med tandläkare, diagnostik och översättare ingår också
- En vacker stad att välja som destination för medicinsk turism med en genuint varm och omtänksam gästfrihet
Se även: All-on-4 i Turkiet

Lista över preoperativa tester som krävs
- 3D/CT-skanning
- CAD/CAM
- Digital röntgen
- Testning av modeller för dentala installationer
Obs: Laboratorietester utförs minst 7 till 10 dagar före ingreppet. Med hjälp av bilddiagnostik och tandmodellering kan tandläkaren analysera hur dina tänder ser ut.
Varför ska jag få min All-on-8-behandling i Turkiet?
Tusentals patienter väljer och reser till Turkiet för tandimplantat varje år. Istanbul är en populär destination för tandbehandling på grund av tillgången till tandbehandlingar av hög standard, lika omfattande som i de flesta avancerade europeiska länder, men till en mycket lägre kostnad.
Andra skäl att välja Istanbul :
- Avancerad tandteknik och högkvalitativa medicinska faciliteter
- En väletablerad marknad för medicinsk turism
- Specialiserad kosmetisk tandvård
- Utmärkt väder året runt
- En varm och välkomnande kultur
- Täta returflyg från alla länder
Dra nytta av en GRATIS utvärdering!
På begäran och
utan några förpliktelser från din sida.
Rådgivning 100% gratis. Vi analyserar din situation, dina behov och förväntningar. Och vi uppskattar den budget som krävs för : Flyg + Hotell + Taxi + Behandling.
Du behåller hela tiden fullständig kontroll över processen. Total sinnesfrid.